The Clinical Need

Surgical Nerve Injury and Its Human Cost

Each year in the United States, over 45 million surgical procedures are performed. For as many as one in two patients, postoperative pain can persist long after healing—often linked to inadvertent injury to delicate nerve structures. These injuries can cause lasting sensory or motor impairment that affects recovery, quality of life, and long-term health.

The financial and systemic impact of such injuries is considerable. Preventable nerve damage increases hospital stays, follow-up procedures, and medicolegal exposure for healthcare providers. As of 2022, these concerns drove a $1.5 billion global market for intraoperative nerve visualization—projected to grow more than 5% annually through 2030.

Alina™ is being developed to help address this unmet need by enabling surgeons to see, identify, and preserve nerves in real time—without dyes or inavsive contrast agents, and radiation free. By improving intraoperative awareness, Alina™ aims to reduce complications, enhance surgical precision, and support better long-term outcomes for patients.

Our Focus

  • Reduce the incidence of iatrogenic nerve injury across surgical specialties.
  • Provide clear, label-free visualization integrated seamlessly into existing workflows.
  • Generate clinical evidence that supports safer, more efficient patient care.
Alina™

Features of Alina™

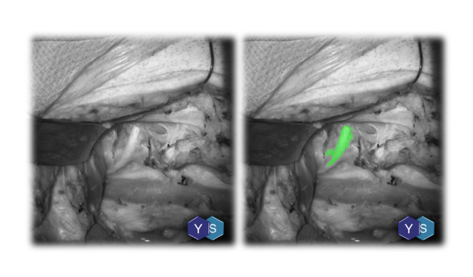
A device that aids surgeons to see and identify nerves in real-time during surgical procedures so that they can "SEE and AVOID" accidental injury and/or PRESERVE and REPAIR nerves.

FUNCTIONALITY

Leverage data to improve patient outcomes.

Key Features:

  • Real-time visual feedback of surgical field
  • Adjustable zooming of surgical field
  • Dynamic positioning of imaging head
  • Smart operability—automated operation
  • User-Friendly Interface
  • Compatible with Existing Systems
FORM FACTOR

FORM FACTOR

Revolutionizing patient care with targeted therapy.

Key Features:

  • Sized to fit within smaller OR setups
  • Mobile cart unit for ease of positioning
  • Articulating arm positioning of imaging head
  • Feedback display adjustable positioning for ideal viewing by surgeon
  • Setup display on cart
PRECISION MEDICINE PLATFORM

PRECISION MEDICINE PLATFORM

A cutting-edge tool that enhances speed and accuracy of nerve detection.

Key Features:

  • Detection of nerve branches as small as 100um
  • Works for intraoperative fields spanning clear to bloody tissue
  • Real time detection (video frame rate) of intraoperative nerves
Partner For A Trial

Apply to Partner for a
Clinical Trial

We’re proud to be partnering with an initial cohort of leading research medical centers serving as clinical trial sites for Alina™. We’re continuing to welcome new partners — if you’re interested in collaborating with us as a clinical trial site, please reach out. When you contact us, let us know which surgical procedures you’re most interested in exploring with our label-free, real-time intraoperative nerve identification and video feedback technology.





    Newsletter

    Get the latest updates

    Be a part of cutting-edge research and help us refine our technologies for broader medical impact.